
Malformația arterio-venoasă (MAV) cerebrală este o afecțiune congenitală, adică prezentă de la naștere, caracterizată printr-o conexiune anormală, directă, între arterele și venele de la nivelul creierului. Această conexiune formează un “ghem” de vase de sânge anormale, fragile, care ocolește rețeaua normală de capilare. Această arhitectură vasculară defectuoasă creează o zonă de stres mecanic intens, cu un flux sanguin rapid și de înaltă presiune, care predispune la complicația cea mai de temut: ruptura și hemoragia cerebrală.
Deși este o condiție cu care o persoană se naște, multe MAV-uri cerebrale rămân tăcute și nediagnosticate timp de zeci de ani. Adesea, ele sunt descoperite întâmplător, în timpul unor investigații imagistice efectuate pentru alte motive, sau, din nefericire, în momentul în care provoacă un eveniment neurologic acut.
Circulația normală a sângelui în creier
Pentru a înțelege gravitatea unei MAV, este esențial să înțelegem mai întâi cum funcționează circulația sanguină normală la nivel cerebral. Într-un sistem sănătos, arterele transportă sânge bogat în oxigen de la inimă către creier. Aceste artere se ramifică în vase din ce în ce mai mici, numite arteriole, care, la rândul lor, se deschid într-o rețea extrem de fină și densă de vase, numită rețeaua de capilare.
Acest pat capilar este componenta funcțională a circulației. Aici, fluxul de sânge încetinește dramatic, permițând oxigenului și nutrienților să treacă din sânge în țesutul cerebral și, în sens invers, să preia dioxidul de carbon și deșeurile metabolice. După ce sângele a trecut prin capilare, el este colectat în venule, care se unesc pentru a forma vene mai mari, prin care sângele neoxigenat se întoarce la inimă. Un rol crucial al rețelei de capilare este acela de a acționa ca un “tampon” de presiune, reducând presiunea arterială înaltă la o presiune venoasă joasă, sigură pentru pereții subțiri ai venelor.
Mecanismul MAV: ocolirea rețelei de capilare
Într-o malformație arterio-venoasă, această structură logică este absentă. MAV-ul este, în esență, un scurtcircuit (șunt). Una sau mai multe artere (artere aferente) se conectează direct la una sau mai multe vene (vene eferente), printr-un ghem central de vase anormale, numit nidus. Rețeaua de capilare, cu rolul său vital de amortizor de presiune și de schimb de substanțe, este complet ocolită.
Această conexiune directă are consecințe dramatice. Sângele arterial, cu presiune mare, este “furat” din țesutul cerebral normal și este deviat cu viteză mare direct în vene. Venele nu sunt construite structural pentru a rezista unei asemenea presiuni. Ca răspuns, arterele care alimentează MAV-ul se dilată și devin tortuoase. Venele care drenează MAV-ul se dilată și ele masiv, devenind engorgate și slăbindu-le pereții. Nidusul în sine este un conglomerat de vase fragile, cu pereți subțiri, predispuși la ruptură. Această arhitectură vasculară anormală, o problemă structurală complexă, necesită o evaluare de specialitate, iar un consult de neurochirurgie în Baia Mare este esențial pentru a înțelege amploarea riscurilor.
Riscul major: hemoragia cerebrală
Cea mai gravă și, din păcate, cea mai frecventă manifestare a unei MAV cerebrale este ruptura sa. Presiunea arterială constantă, care pulsează într-un sistem venos nepregătit, duce la slăbirea progresivă a pereților vaselor anormale din nidus. Acestea pot dezvolta mici dilatații (anevrisme intranidale) care sunt puncte de vulnerabilitate maximă. În cele din urmă, unul dintre aceste vase slăbite poate ceda și se poate rupe, provocând o hemoragie direct în țesutul cerebral (hemoragie intraparenchimatoasă) sau în spațiul din jurul creierului (hemoragie subarahnoidiană).
O astfel de hemoragie este o formă de accident vascular cerebral hemoragic, o urgență medicală care pune viața în pericol. Pacientul poate experimenta debutul brusc al celei mai severe dureri de cap din viața sa, adesea descrisă ca o “lovitură de trăsnet”, însoțită de greață, vărsături, pierderea cunoștinței, deficit neurologic brusc (paralizie, tulburări de vorbire) sau crize epileptice. Riscul de deces în urma unei prime rupturi este semnificativ, iar supraviețuitorii pot rămâne cu sechele neurologice permanente. Chiar și după o primă sângerare, riscul de a suferi o a doua hemoragie, adesea mai gravă, în perioada imediat următoare este foarte ridicat.
Simptomele MAV-ului: mai mult decât riscul de sângerare
Deși hemoragia cerebrală este cea mai periculoasă și cea mai dramatică formă de prezentare a unei malformații arterio-venoase, nu este singura. Multe MAV-uri pot provoca simptome cronice, care se dezvoltă lent, pe parcursul anilor, ca urmare a efectelor pe care “ghemul” vascular anormal le are asupra țesutului cerebral din jur.
Una dintre cele mai comune manifestări, în afara hemoragiei, o reprezintă crizele epileptice. Se estimează că un procent semnificativ dintre pacienții cu MAV-uri prezintă epilepsie ca prim simptom. Fluxul sanguin anormal, de înaltă presiune, și iritația cronică pe care o provoacă MAV-ul asupra cortexului cerebral din vecinătate pot transforma acea zonă într-un focar epileptic, de unde se descarcă impulsuri electrice anormale. Aceste crize pot fi focale, manifestându-se prin mișcări necontrolate ale unui membru sau prin senzații ciudate, sau se pot generaliza, ducând la pierderea cunoștinței și convulsii. O astfel de manifestare este adesea primul indiciu care duce la descoperirea unei MAV, în special la un pacient tânăr, fără alți factori de risc pentru epilepsie.
Durerile de cap (cefaleea) sunt, de asemenea, raportate frecvent. Acestea pot fi nespecifice sau pot mima o migrenă cronică. Se crede că sunt cauzate fie de presiunea crescută din venele dilatate, fie de modificările fluxului sanguin cerebral. O durere de cap care este mereu în aceeași zonă, care este pulsatilă sau care nu răspunde la tratamentele obișnuite ar trebui să ridice suspiciuni.
În alte cazuri, MAV-ul poate provoca deficite neurologice focale progresive, care se instalează lent, fără a exista o sângerare. Acest lucru se întâmplă prin două mecanisme principale. Primul este efectul de “furt” vascular. Deoarece MAV-ul este un scurtcircuit cu rezistență foarte mică, el atrage o cantitate disproporționat de mare de sânge, “furând” practic sângele oxigenat din teritoriile cerebrale sănătoase din apropiere. Țesutul cerebral normal, privat cronic de un flux sanguin adecvat, devine ischemic și începe să sufere, ducând la apariția lentă a simptomelor, cum ar fi slăbiciune musculară într-o mână, dificultăți de vorbire sau de înțelegere, sau pierderea vederii într-o parte a câmpului vizual, în funcție de localizarea MAV-ului. Al doilea mecanism este efectul de masă directă, în special în cazul MAV-urilor mari, care pot comprima structurile cerebrale adiacente, similar unei tumori benigne.
Diagnosticul malformației arterio-venoase: o descoperire imagistică
Diagnosticul de certitudine al unei MAV cerebrale este pus exclusiv prin metode de imagistică cerebrală. Deoarece simptomele pot fi nespecifice (dureri de cap, crize epileptice), aceste investigații sunt esențiale pentru a identifica natura exactă a problemei. Există două scenarii principale de diagnostic: diagnosticul de urgență, în urma unei hemoragii, sau diagnosticul electiv, în urma investigării unor simptome cronice.
În urgență, prima investigație efectuată este, de obicei, tomografia computerizată (CT) cerebrală fără substanță de contrast. Aceasta este cea mai rapidă metodă de a confirma prezența unei hemoragii intracerebrale. Ulterior, se poate efectua o angio-CT, cu substanță de contrast, care poate oferi imagini rapide ale vaselor de sânge și poate sugera prezența MAV-ului ca sursă a sângerării.
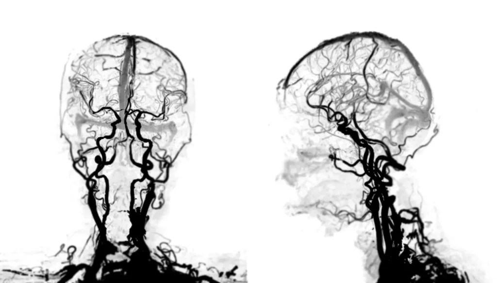
Standardul de aur pentru evaluarea non-invazivă a unei MAV, în special în afara urgenței, este rezonanța magnetică (RMN) cerebrală și angiografia prin RMN (ARM). RMN-ul oferă imagini extrem de detaliate ale țesutului cerebral, putând arăta cu precizie localizarea ghemului vascular (nidusului), efectele sale asupra creierului din jur și poate identifica semne ale unor sângerări mai vechi, minore, care ar fi putut trece neobservate. Angio-RMN-ul este o secvență specială care reconstruiește arborele vascular, oferind o hartă tridimensională a arterelor care alimentează MAV-ul și a venelor care îl drenează.
Investigația definitivă, absolut esențială pentru planificarea oricărui tratament, este angiografia cerebrală digitală cu substracție (DSA). Aceasta este o procedură invazivă, considerată standardul de aur. Se realizează într-o sală specială de angiografie, sub anestezie locală sau generală. Un cateter subțire este introdus printr-o arteră, de obicei la nivelul pumnului sau în zona inghinală, și este ghidat sub control radioscopic până la nivelul arterelor care irigă creierul. Se injectează substanță de contrast direct în aceste artere, iar un aparat digital captează imagini de înaltă rezoluție, în timp real, ale fluxului sanguin. Această investigație oferă o “hartă” dinamică și extrem de precisă a MAV-ului, arătând exact care artere îl alimentează, cât de rapid este fluxul prin nidus, dacă există anevrisme asociate (puncte de risc maxim de ruptură) și, crucial, cum și pe unde se drenează sângele venos. Această înțelegere detaliată a arhitecturii vasculare este vitală pentru ca echipa de neurochirurgie în Baia Mare să poată stabili cea mai sigură și eficientă strategie de tratament.
Opțiuni de tratament: o decizie complexă și personalizată
Odată ce o malformație arterio-venoasă cerebrală este diagnosticată, decizia terapeutică este una dintre cele mai complexe din medicina neurologică. Alegerea strategiei optime nu este una standard, ci este profund personalizată, bazându-se pe o evaluare atentă a riscurilor bolii versus riscurile intervenției. Echipa medicală, care include un neurochirurg, un neuroradiolog intervenționist și un neurolog, va analiza mai mulți factori: vârsta și starea generală de sănătate a pacientului, dacă MAV-ul a sângerat deja și, cel mai important, caracteristicile anatomice ale MAV-ului (dimensiune, localizare și tipul de drenaj venos).
Scopul principal al tratamentului este eliminarea completă a MAV-ului pentru a anula riscul viitor de hemoragie, încercând în același timp să se păstreze intactă funcția neurologică a pacientului.
Opțiunile terapeutice moderne
Există trei modalități principale de tratament, care pot fi folosite individual sau, cel mai adesea, în combinație pentru a obține cel mai bun rezultat.
Rezecția microchirurgicală Aceasta este considerată metoda de tratament “standard de aur” și este singura care oferă o vindecare imediată și definitivă. Intervenția presupune o craniotomie (deschiderea craniului) și, cu ajutorul unui microscop operator de mare putere, neurochirurgul identifică și disecă cu migală vasele anormale. Chirurgul coagulează și închide selectiv arterele care alimentează MAV-ul, apoi disecă ghemul vascular (nidusul) și, la final, închide venele de drenaj. Îndepărtarea completă a nidusului elimină riscul de sângerare pe viață. Această abordare este ideală pentru MAV-urile localizate superficial, în zone “non-eloquente” ale creierului. Provocarea este majoră atunci când MAV-ul este situat în zone profunde sau în arii care controlează funcții critice precum vorbirea sau mișcarea, cum ar fi în cazul altor leziuni, de exemplu un meningiom cerebral.
Embolizarea endovasculară Aceasta este o procedură minim invazivă, realizată de obicei de un neuroradiolog intervenționist, adesea în aceeași sesiune cu angiografia diagnostică. Folosind aceeași tehnică, un microcateter este navigat prin artere până în interiorul vaselor care alimentează MAV-ul. Odată ajuns la țintă, medicul injectează un material embolic special, asemănător unui “lipici” medical, care se întărește rapid și blochează fluxul de sânge în acea porțiune a MAV-ului. Embolizarea este rareori un tratament curativ de una singură, dar este un instrument extrem de valoros. Cel mai adesea, este folosită ca o terapie adjuvantă, înainte de operația clasică sau de radiochirurgie, pentru a reduce dimensiunea MAV-ului și a bloca arterele cu flux mare, făcând astfel intervenția ulterioară mult mai sigură și mai eficientă.
Radiochirurgia stereotactică (de exemplu, Gamma Knife) Aceasta este o formă de tratament non-invazivă, care nu implică nicio tăietură. Este o tehnică de radioterapie de înaltă precizie, în care sute de fascicule de radiație de intensitate mică sunt focalizate cu o acuratețe milimetrică exact pe ghemul vascular. Fiecare fascicul în parte este inofensiv pentru țesutul cerebral prin care trece, dar la punctul de intersecție, doza de radiație cumulată este foarte mare. Această radiație nu distruge MAV-ul imediat, ci induce o reacție biologică lentă în pereții vaselor anormale, determinându-i să se îngroașe și să se închidă complet (obliterare) pe parcursul unei perioade de 1 până la 3 ani. Este o opțiune excelentă pentru MAV-urile mici, situate în zone profunde sau elocvente, unde chirurgia deschisă ar fi prea riscantă.
Managementul conservator: o opțiune pentru cazuri selectate
În unele situații, după o analiză amănunțită, echipa medicală poate ajunge la concluzia că riscurile oricărei forme de tratament intervențional sunt mai mari decât riscul natural al MAV-ului respectiv. Acest lucru se poate întâmpla în cazul MAV-urilor foarte mari, localizate în zone critice ale creierului, la pacienți în vârstă sau cu alte afecțiuni grave. În această situație, se optează pentru managementul conservator, care constă în monitorizarea atentă a MAV-ului prin RMN-uri periodice și controlul strict al factorilor de risc care ar putea favoriza o sângerare, în special hipertensiunea arterială.
Concluzie
Malformațiile arterio-venoase cerebrale sunt afecțiuni vasculare congenitale complexe, a căror cea mai mare amenințare este riscul de hemoragie cerebrală. Deși pot rămâne tăcute ani de zile, descoperirea lor impune o evaluare neurochirurgicală de înaltă specialitate. Progresele în microchirurgie, tehnicile endovasculare și radiochirurgie oferă astăzi un arsenal terapeutic sofisticat, permițând elaborarea unui plan de tratament individualizat pentru fiecare pacient. Decizia terapeutică este un echilibru delicat între riscul natural al bolii și riscurile intervenției, având ca obiectiv final eliminarea pericolului de ruptură și conservarea unei calități optime a vieții.